Moving Immunohistochemistry to the Cloud
Our AI platform replaces complex staining workflows with digital biomarkers generated from H&E - saving time, tissue and cost.

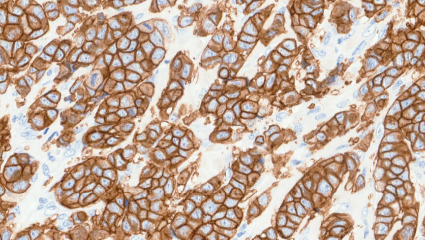
Our models generate IHC–equivalent images directly from standard H&E slides - no reagents, no waiting. Using generative AI trained on thousands of paired samples, we reproduce biomarker expression patterns at cellular resolution.
Amorphic Lab streamlines histopathology pipelines by integrating preprocessing, quality control, and inference into one orchestrated cloud workflow.


Our generative models create realistic, privacy-preserving histopathology images to augment datasets and accelerate AI development, leading to more robust and generalizable models.
Sign up to get early access and research updates.
© Amorphic Lab. All rights reserved.
You're on the waitlist.